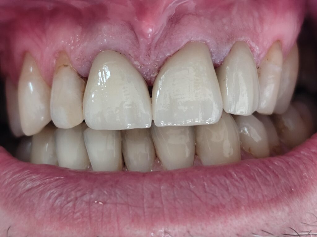
Metamorfoza uśmiechu – wymiana nieszczelnych koron przednich zębów

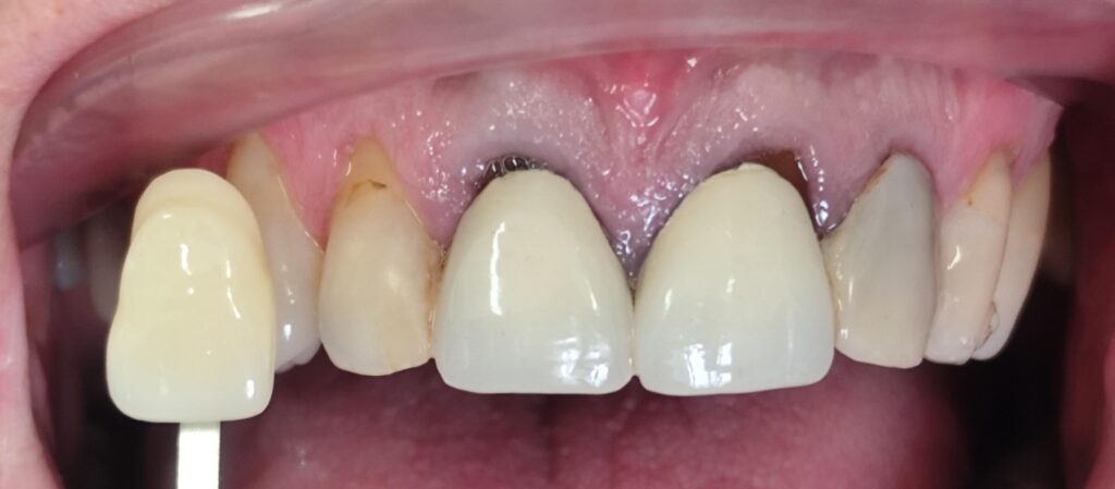
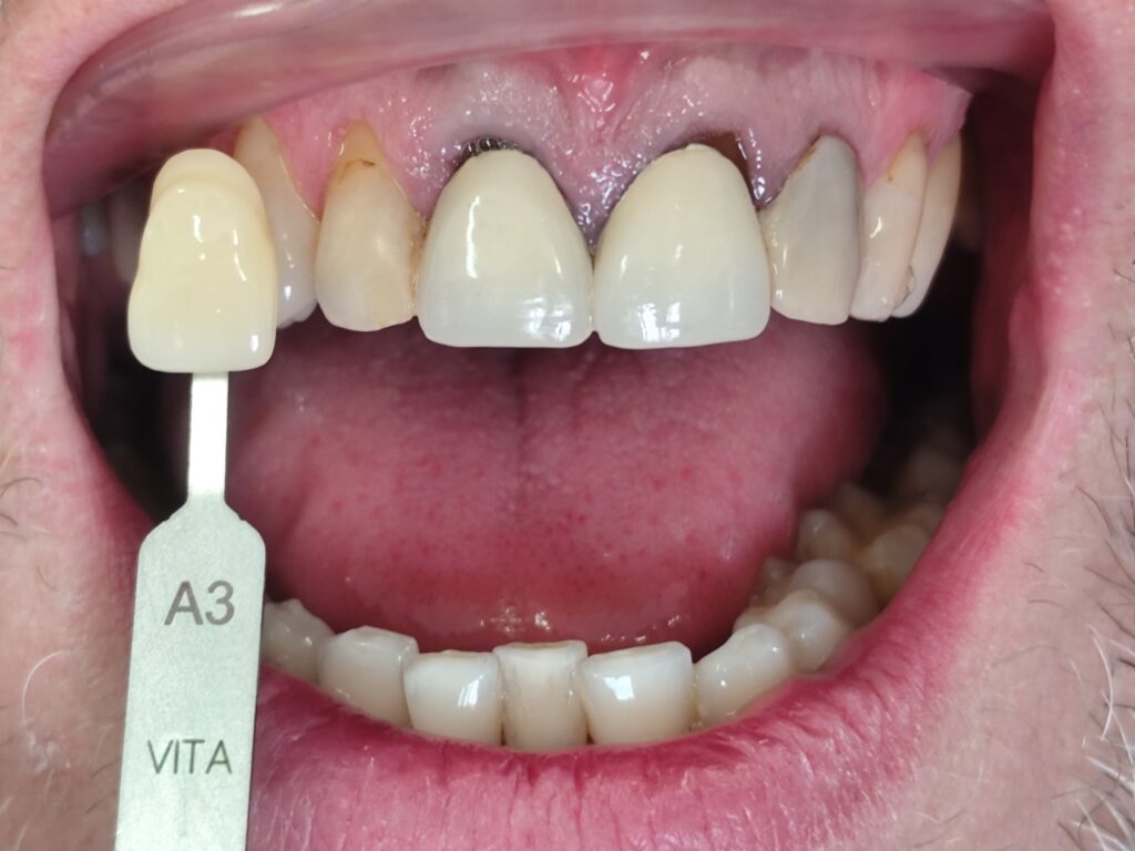
przed
po
przed
po

Zobacz efekty naszej metamorfozy uśmiechu! W tej przemianie wykonaliśmy wymianę nieszczelnych koron w odcinku przednim, przywracając pacjentowi piękny, naturalny i zdrowy uśmiech. Nowe korony przednie zostały idealnie dopasowane pod kątem koloru, kształtu i funkcji, co poprawiło zarówno estetykę, jak i komfort gryzienia.

W Centrum Stomatologii Bibice oferujemy kompleksowe metamorfozy uśmiechu:

  • Wymiana starych/nieszczelnych koron – poprawa wyglądu i trwałości zębów,

  • Korony przednie – trwałe, estetyczne i naturalnie wyglądające odbudowy,

  • Przebudowa uśmiechu – harmonijny efekt wizualny i zdrowotny.

📍 Zabiegi wykonujemy dla pacjentów z Michałowic, Bibic, Zielonek, Iwanowic i okolic, aby każdy mógł cieszyć się pięknym uśmiechem.

Polityka prywatności

OCHRONA PRYWATNOŚCI

W celu ochrony i poszanowania prywatności Użytkowników Serwisu, wszystkie dane osobowe oraz informacje przekazane przez Użytkowników Serwisu, są chronione zgodnie z rozporządzeniem Parlamentu Europejskiego i Rady (UE) nr 2016/679 z dnia 27 kwietnia 2016 r. w sprawie ochrony osób fizycznych w związku z przetwarzaniem danych osobowych i w sprawie swobodnego przepływu takich danych oraz uchylenia  dyrektywy 95/46/WE (ogólne rozporządzeniem o ochronie danych osobowych) (Dz. Urz. UE L 119 z 4.05.2016, str. 1) – RODO. Administratorem danych osobowych pobieranych od Użytkowników Serwisu jest Centrum Stomatologii Bibice.

ZGODA NA PRZETWARZANIE DANYCH OSOBOWYCH

Wyrażam zgodę na przetwarzanie moich danych osobowych zgodnie z rozporządzeniem Parlamentu Europejskiego i Rady (UE) nr 2016/679 z dnia 27 kwietnia 2016 r. w sprawie ochrony osób fizycznych w związku z przetwarzaniem danych osobowych i w sprawie swobodnego przepływu takich danych oraz uchylenia dyrektywy 95/46/WE (ogólne rozporządzenie o ochronie danych osobowych) (Dz. Urz. UE L 119 z 4.05.2016, str. 1) – RODO przez Centrum Stomatologii Bibice w celach rekrutacyjnych i udostępnienia informacji handlowej.

Oświadczam, że zostałem poinformowany o prawie dostępu do treści swoich danych oraz prawie ich sprostowania, usunięcia, ograniczenia przetwarzania, prawie do przenoszenia danych, prawie wniesienia sprzeciwu, prawie do cofnięcia zgody w dowolnym momencie bez wpływu na zgodność z prawem przetwarzania (jeżeli przetwarzanie odbywa się na podstawie zgody), którego dokonano na podstawie zgody przed jej cofnięciem.

MONITORING

Na terenie Centrum Stomatologii Bibice w miejscach ogólnodostępnych prowadzony jest monitoring pomieszczeń oraz parkingu. Monitoring jest prowadzony w celu zapewnienia bezpieczeństwa pracowników, pacjentów oraz ochrony mienia Centrum Stomatologii Bibice na podstawie art. 6 pkt 1 lit. f) RODO oraz na podstawie art. 23a ustawy z dnia 15 kwietnia 2011 roku o działalności leczniczej.

 

Polityka Cookies

Polityka Cookies na Stronie Internetowej Centrum Stomatologii Bibice

Nasza strona internetowa, Centrum Stomatologii Bibice, stosuje pliki cookies, aby zapewnić lepsze doświadczenie użytkownika i dostosować treści oraz reklamy do indywidualnych preferencji. Poniżej znajduje się nasza polityka cookies, która wyjaśnia, w jaki sposób i dlaczego używamy plików cookies oraz jakie są Twoje prawa w związku z nimi.

Czym są pliki cookies?

Pliki cookies to niewielkie pliki tekstowe, które są przechowywane na Twoim urządzeniu (komputerze, smartfonie, tablecie) podczas odwiedzania stron internetowych. Są one używane do zbierania informacji na temat Twojej aktywności na stronie internetowej i pomagają dostosować treści oraz usługi do Twoich potrzeb.

Rodzaje plików cookies używanych na naszej stronie:

  1. Pliki cookies niezbędne: Są to pliki cookies, które są niezbędne do prawidłowego funkcjonowania strony internetowej, takie jak sesyjne pliki cookies, które pozwalają na nawigację po stronie oraz zapamiętują informacje wprowadzane w formularzach.

  2. Pliki cookies analityczne: Pozwalają nam zbierać anonimowe informacje na temat sposobu korzystania z naszej strony internetowej. Dzięki nim możemy analizować ruch na stronie i ulepszać jej działanie oraz treści.

  3. Pliki cookies reklamowe: Mogą być używane do dostarczania spersonalizowanych reklam na naszej stronie lub innych stronach internetowych, na których się reklamujemy.

Jakie dane zbieramy za pomocą plików cookies:

Pliki cookies zbierają anonimowe dane, takie jak adres IP, przeglądarka internetowa, system operacyjny oraz informacje o zachowaniu użytkownika na stronie. Nie zbieramy żadnych danych osobowych, takich jak imię czy adres e-mail, za pomocą plików cookies.

Jak kontrolować pliki cookies:

Masz możliwość zarządzania plikami cookies za pomocą ustawień przeglądarki internetowej. Możesz zablokować pliki cookies, usuwać je lub ustawić powiadomienia o ich użyciu. Pamiętaj jednak, że blokowanie plików cookies może wpłynąć na działanie niektórych funkcji strony internetowej.

Korzystanie z naszej strony internetowej oznacza akceptację plików cookies:

Korzystając z naszej strony internetowej, wyrażasz zgodę na używanie plików cookies zgodnie z naszą polityką cookies. Jeśli nie zgadzasz się na używanie plików cookies, prosimy o zmianę ustawień przeglądarki lub opuszczenie naszej strony internetowej.

Kontakt:

Jeśli masz jakiekolwiek pytania dotyczące naszej polityki cookies lub przetwarzania danych osobowych, prosimy o kontakt za pomocą danych dostępnych na naszej stronie internetowej.

Ta polityka cookies może być okresowo aktualizowana, dlatego zalecamy jej regularne sprawdzanie, aby być na bieżąco z naszymi praktykami w zakresie plików cookies. Ostatnia aktualizacja: [2023-12-06].

Dziękujemy za odwiedzenie naszej strony internetowej Centrum Stomatologii Bibice.